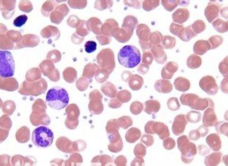
Phát hiện bất ngờ cho thấy bạch cầu trung tính có thể là vũ khí chống ung thư chính
Theo một khám phá bất ngờ, các tế bào bạch cầu được gọi là bạch cầu trung tính có vai trò không được đánh giá cao trong việc tiêu diệt các khối u rắn.
Có 4,642 bài viết trong chuyên mục này
Theo một khám phá bất ngờ, các tế bào bạch cầu được gọi là bạch cầu trung tính có vai trò không được đánh giá cao trong việc tiêu diệt các khối u rắn.
Theo một nghiên cứu mới, cộng đồng vi khuẩn sống trong và trên cơ thể chúng ta có thể đóng vai trò là ổ chứa kháng kháng sinh.
Một nhóm các nhà khoa học đã xác định được hai loại phụ riêng biệt của tế bào beta sản xuất insulin, hay tế bào ß, mỗi loại có các đặc điểm quan trọng có thể được tận dụng để hiểu rõ hơn và điều trị b...
Các nhà nghiên cứu báo cáo rằng những người lớn tuổi bị trầm cảm thực sự già đi nhanh hơn so với những người cùng lứa tuổi. Họ cũng có sức khỏe tim mạch và trí não kém.
Các nhà nghiên cứu đã phát triển một cảm biến cầm tay kiểm tra mồ hôi để tìm cortisol và cung cấp kết quả sau 8 phút, một bước tiến quan trọng trong việc theo dõi một loại hormone có mức độ là dấu hiệ...
Theo một nghiên cứu mới, những thay đổi trong não do bệnh Alzheimer gây ra có liên quan đến việc rút ngắn telomere - lớp mũ bảo vệ ở đầu nhiễm sắc thể ngắn lại khi tế bào già đi - theo một nghiên cứu...
Theo một nghiên cứu mới của các nhà khoa học Đại học Nam Australia, những người đàn ông thường xuyên ăn trái cây và rau có màu sắc sặc sỡ ít có khả năng bị chẩn đoán mắc bệnh ung thư tuyến tiền liệt (...
Một nhóm các nhà điều tra đã xác định được các chiến lược trao đổi chất mà Clostridioides difficile sử dụng để nhanh chóng xâm chiếm ruột. Các phát hiện xác định các phương pháp để ngăn ngừa và điều t...
Các nhà nghiên cứu của Đại học Sheffield đã phát triển một phương pháp siêu âm mới có thể giúp chẩn đoán dễ dàng hơn các mô bất thường, sẹo và ung thư
Khi các loại kháng sinh thông thường tiếp tục mất hiệu quả chống lại mầm bệnh đang phát triển, các nhà khoa học rất muốn sử dụng các kỹ thuật tiêu diệt vi khuẩn được hoàn thiện bởi thể thực khuẩn, loạ...
Viêm da cơ ở trẻ vị thành niên, một bệnh tự miễn dịch toàn thân hiếm gặp nhưng thường nghiêm trọng và mãn tính, bao gồm một số lượng lớn bệnh nhân kháng trị, cần điều trị ức chế miễn dịch lâu dài. Một...
Các nhà nghiên cứu của Trường Y thuộc Đại học Indiana đã xác định được một mục tiêu điều trị mới có thể dẫn đến điều trị bệnh tăng nhãn áp hiệu quả hơn.
Các nhà nghiên cứu xác định phương pháp điều trị tiềm năng cho bệnh bạch cầu dòng tủy cấp tính nhắm vào protein sửa chữa DNA
Các nhà nghiên cứu làm sáng tỏ sự đối đầu trong ruột giữa hệ thống miễn dịch và mầm bệnh vi khuẩn có thành viên gia đình gây ra bệnh đường tiêu hóa và bệnh dịch hạch. Những hiểu biết sâu sắc của nhóm...
Các nhà khoa học đã phát hiện ra rằng một loại enzyme gọi là fumarate hydratase bị ức chế trong đại thực bào, một loại tế bào viêm tuyến đầu liên quan đến một loạt bệnh bao gồm lupus, viêm khớp, nhiễm...
Các nhà nghiên cứu hiện đã phát hiện ra rằng một loại thuốc uống mới tác động trực tiếp lên tế bào người có thể ức chế nhiều chủng SARS-CoV-2 gây bệnh.
Một nghiên cứu quốc tế đã phát hiện ra một biến thể di truyền mang lại khả năng chống nhiễm trùng Chagas ở quần thể người Amazon. Người bản địa từ Amazon cho thấy chữ ký Q1 di truyền của sự lựa chọn d...
Theo một nghiên cứu mới, ngủ ngon có thể đóng một vai trò trong việc hỗ trợ tim và sức khỏe tổng thể của bạn - và thậm chí có thể kéo dài tuổi thọ của bạn.
Các bệnh viêm như viêm khớp dạng thấp có cơ chế bệnh phức tạp có thể khác nhau giữa các bệnh nhân với cùng một chẩn đoán. Điều này có nghĩa là các loại thuốc hiện có rất ít tác dụng đối với nhiều bệnh...
Việc lập mô hình hệ vi sinh vật đặc biệt khó khăn do các điều kiện môi trường độc đáo của nó, nhưng thông qua thiết kế sáng tạo, các thiết bị ruột trên chip có thể mô phỏng nhiều đặc tính này, chẳng h...