Hotline: 0971899466 nvtruong17@gmail.com
Thuốc Biệt Dược

Trí tuệ nhân tạo của Google có thể chẩn đoán ung thư vú chính xác hơn nhiều so với các bác sĩ giỏi nhất?

3,862 lượt xem
Trí tuệ nhân tạo của Google có thể chẩn đoán ung thư vú chính xác hơn nhiều so với các bác sĩ giỏi nhất?

Hệ thống trí tuệ nhân tạo (AI) do Google phát triển có thể chẩn đoán và phát hiện mầm mống ung thư vú ở phụ nữ thông qua hình ảnh chụp X quang tuyến vú, với độ chính xác vượt trội hơn nhiều so với các bác sĩ X quang hàng đầu hiện nay.

Đây là kết luận mới được công bố trên tạp chí Nature vào 1/1/2020, cho thấy việc ứng dụng trí thông minh nhân tạo (AI) sẽ giúp cải thiện đáng kể độ chính xác của quá trình sàng lọc ung thư vú - căn bệnh đang ảnh hưởng đến 1/8 phụ nữ trên toàn cầu.

Ung thư vú là bệnh ung thư nguy hiểm hàng đầu đối với phụ nữ. Việc phát hiện sớm ung thư vú sẽ giúp tăng hiệu quả điều trị cho bệnh nhân. Thông thường, phương pháp chụp X quang bầu ngực là công cụ tầm soát giúp phát hiện sớm ung thư vú khá hiệu quả.

Tuy nhiên, tỷ lệ sai sót trong việc phát hiện ung thư vú qua hình ảnh X quang vẫn còn cao. Theo số liệu được công bố bởi Hiệp hội Ung thư Mỹ, các bác sĩ X quang tại nước này có khả năng bỏ lỡ khoảng 20% mầm bệnh ung thư vú khi xem xét hình chụp X quang tuyến vú. Trong khi đó, một nửa số phụ nữ tại Mỹ được sàng lọc trong khoảng thời gian 10 năm có kết quả dương tính giả, theo SCMP.

Tuy nhiên, trí tuệ nhân tạo DeepMind AI của Google sẽ mang đến một bước tiến lớn trong việc phát hiện sớm ung thư vú, theo các tác giả của công trình nghiên cứu.

Nhóm nghiên cứu, bao gồm các nhà nghiên cứu tại Đại học Hoàng gia London và Dịch vụ Y tế Quốc gia Anh, đã ‘đào tạo’ hệ thống trí tuệ nhân tạo dựa trên cơ sở dữ liệu gồm hàng chục ngàn hình ảnh chụp X quang tuyến vú của nhiều phụ nữ tại Anh và Mỹ.

Được biết, trí tuệ nhân tạo sẽ quét các hình ảnh X quang, sau đó tìm kiếm các dấu hiệu ung thư vú bằng cách kiểm tra các thay đổi của bầu ngực. Các nhà nghiên cứu sau đó sẽ đối chiếu kết quả từ máy tính với các kết luận thực tế của bác sĩ.

Kết quả cho thấy, hệ thống AI của Google có thể xác định bệnh ung thư vú với độ chính xác tương tự như các chuyên gia X quang hàng đầu hiện nay. Đáng chú ý, việc sử dụng AI để chẩn đoán ung thư vú giúp giảm từ 1,2-5,7% kết quả dương tính giả ở các bệnh nhân tại Anh và Mỹ.

ai-tt.jpg
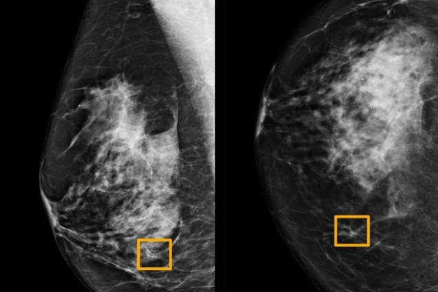
Ô vàng là nơi trí tuệ nhân tạo tìm thấy ung thư ẩn bên trong mô vú. Ảnh: Đại học Northwestern.

Đồng thời, kết quả âm tính giả - khi ung thứ vú không bị phát hiện, cũng giảm 9,4% với các bệnh nhân tại Mỹ, và 2,7% với các bệnh nhân người Anh.

Cần lưu ý, số liệu trên cũng phản ánh sự khác biệt về quy trình tầm soát bệnh ung thư vú dựa trên hình chụp X Quang của Mỹ và Anh.

Tại Mỹ, chỉ có một bác sĩ X quang đọc kết quả và các xét nghiệm được thực hiện sau 1-2 năm. Trong khi đó, ở Anh, việc tầm soát ung thư vú được thực hiện ba năm một lần. Việc chẩn đoán được thực hiện bởi hai bác sĩ X quang. Trong trường hợp xảy ra sự bất đồng trong việc đọc kết quả, vốn rất hiếm khi xảy ra, một bác sỹ thứ ba sẽ phân tích các hình chụp tuyến vú để đưa ra kết luận cuối cùng.

Vì sao trí tuệ nhân tạo của Google có thể chẩn đoán ung thư vú chính xác hơn nhiều so với các bác sĩ giỏi nhất? - Ảnh 3.
Hệ thống AI của Google có thể xác định bệnh ung thư vú với độ chính xác tương tự như các chuyên gia X quang hàng đầu hiện nay.


AI có thể phát hiện ung thư vú từ những manh mối nhỏ nhất, còn con người thì không

Trong một thử nghiệm riêng biệt, nhóm nghiên cứu đã cho hệ thống AI ‘đọ sức’ với 6 bác sĩ X quang hàng đầu.

Kết quả thử nghiệm cho thấy, trí tuệ nhân tạo của Google tỏ ra vượt trội hơn các con người trong việc phát hiện chính xác ung thư vú.

Connie Lehman, trưởng khoa hình ảnh tuyến vú tại Bệnh viện Đa khoa Harvard Massachusetts (Mỹ) khẳng định, việc AI ‘đánh bại’ con người không hề khiến nhóm nghiên cứu cảm thấy bất ngờ.

Trên thực tế, kết quả thử nghiệm hoàn toàn tương đồng với những kết luận trước đó của nhiều nhóm nghiên cứu khác, vốn cũng sử dụng AI để cải thiện tỷ lệ chính xác khi tầm soát ung thư vú.

AI có thể phát hiện ung thư vú từ những ‘manh mối’ dù là nhỏ nhất, điều mà con người không thể làm được.

Theo SCMP, việc sử dụng máy tính để cải thiện chẩn đoán ung thư đã có từ hàng thập kỷ. Các hệ thống tầm soát có sự trợ giúp của máy tính (CAD) rất phổ biến trong các phòng khám chụp X quang. Tuy nhiên những chương trình này lại không cải thiện hiệu quả trong thực hành lâm sàng.

Vấn đề nằm ở chỗ, các chương trình CAD hiện tại đã được lập trình để xác định những thứ mà các bác sĩ X quang ở người có thể nhìn thấy. Với trí tuệ nhân tạo, máy tính học cách phát hiện ung thư dựa trên chẩn đoán thực tế của hàng nghìn ảnh chụp X quang tuyến vú, bác sĩ Lehman cho biết.

Điều này có nghĩa, AI có thể phát hiện ung thư vú từ những ‘manh mối’ dù là nhỏ nhất, điều mà con người không thể làm được.

Mặc dù rất tiềm năng, tuy nhiên trí tuệ nhân tạo vẫn chưa thể thay thế hoàn toàn bác sĩ. Quá trình thử nghiệm cho thấy, vẫn còn rất nhiều trường hợp mắc ung thư nhưng không được trí tuệ nhân tạo phát hiện ra.

Bản thân Google cũng nhấn mạnh, trí tuệ nhân tạo DeepMind hiện chỉ là công cụ để hỗ trợ các bác sĩ. "Việc kết hợp giữa trí tuệ nhân tạo và trí tuệ của loài người sẽ có nhiều ưu điểm hơn, từ đó đem lại kết quả tốt hơn", Google cho biết.

Tham khảo SCMP / The Verge
Chia sẻ bài viết:

Bình luận (0)

Gửi bình luận của bạn

Bình luận của bạn sẽ được kiểm duyệt trước khi hiển thị. Không được chèn link hoặc nội dung spam.

Chưa có bình luận nào

Hãy là người đầu tiên bình luận về nội dung này!

Gọi Zalo Facebook